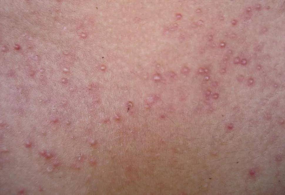
毛囊炎是我们生活中常见的皮肤疾病之一。发病的原因跟我们的生活有着息息相关的原因,但是很多人把毛囊炎当成痘痘来治疗,然后走入了治疗误区,所以今天就来给大家科普一下:生活中如何预防毛囊炎?

1、不注意个人卫生:如果在日常生活中没有注重皮肤的清洁,就会造成皮肤表面的细菌和毛囊的堵塞,从而引起毛囊炎的反复发作,建议患者生活中注意皮肤清洁。
2、不良饮食习惯:如果长期酗酒、进食辛辣刺激性食物,可能导致血管扩张,炎症反应加剧,从而导致毛囊炎复发。
3、油脂分泌旺盛:当皮肤分泌过多的油脂时,可能会导致毛囊堵塞,从而会出现毛囊炎经常复发的情况,建议生活中保持规律的作息,并且还需注意皮肤清洁。
4、激素紊乱:如果患者存在激素紊乱的情况,特别是雄性激素分泌过多的情况,会导致皮脂腺分泌过多的皮脂,皮脂与表皮细胞混合,便容易堵塞毛孔,引起毛囊炎反复。
5、糖尿病:糖尿病患者的血液中含有较高的糖分,这也是细菌生长的主要场所。所以,患有糖尿病的人,由于身体的抵抗力相对较差,所以很有可能会引起毛囊炎的复发。
日常生活中又该如何预防毛囊炎的发生?
多吃粗粮、蔬菜水果,保持大便通畅,防止便秘。
少吃高能量的食物,如糖、肉食、油炸食品、坚果仁等;热性体质的人少吃辛辣食物。
作息规律、不熬夜,避免压力过大和过度疲劳。
平时注意个人卫生,勤洗澡,出汗后及时擦干。
尽量避免高温作业,不宜蒸桑拿、练高温瑜伽等。不要挤压、搔抓丘疹,不然容易堵塞毛孔。
如果实在刺痒,可以冷敷,并在医生指导下涂上药膏。
医学界力求其发表内容在审核通过时的准确可靠,但并不对已发表内容的适时性,以及所引用资料(如有)的准确性和完整性等作出任何承诺和保证,亦不承担因该些内容已过时、所引用资料可能的不准确或不完整等情况引起的任何责任。请相关各方在采用或者以此作为决策依据时另行核查。图片、文字来源于网络,如有涉及侵权,请联系我们立即删除!